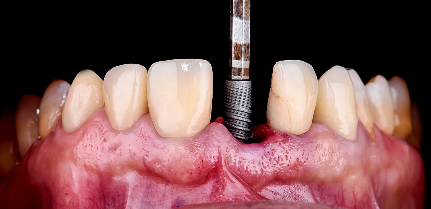
Implanty, zarówno dentystyczne, jak i ortopedyczne, stały się powszechnie stosowanymi rozwiązaniami w medycynie. Wiele osób zastanawia się nad ich bezpieczeństwem, zwłaszcza w kontekście długoterminowych skutków zdrowotnych. Warto zauważyć, że implanty są projektowane z myślą o trwałości oraz biokompatybilności, co oznacza, że powinny współpracować z tkankami ciała bez wywoływania reakcji alergicznych czy odrzucenia. W przypadku implantów stomatologicznych najczęściej wykorzystuje się tytan, który jest materiałem odpornym na korozję i dobrze tolerowanym przez organizm. Badania wykazują, że powikłania związane z implantami są rzadkie, a ich występowanie często wiąże się z niewłaściwą higieną jamy ustnej lub brakiem odpowiednich wskazań do zabiegu. Warto również pamiętać, że każdy przypadek jest inny i przed podjęciem decyzji o wszczepieniu implantu zaleca się konsultację ze specjalistą, który oceni indywidualne ryzyko oraz korzyści.
Jakie są potencjalne zagrożenia związane z implantami?
Pomimo wielu zalet, jakie niesie ze sobą stosowanie implantów, istnieją także pewne potencjalne zagrożenia, które warto mieć na uwadze. Jednym z najczęstszych problemów jest infekcja w miejscu wszczepienia implantu. Może to być spowodowane nieodpowiednią higieną lub nieprzestrzeganiem zaleceń pooperacyjnych. Innym zagrożeniem jest reakcja alergiczna na materiały użyte do produkcji implantu. Choć tytan jest uznawany za bezpieczny, niektóre osoby mogą reagować na inne składniki stopów metalowych. Dodatkowo, w przypadku implantów dentystycznych może wystąpić problem z integracją implantu z kością, co prowadzi do jego luzowania lub wypadnięcia. Ważne jest także monitorowanie stanu zdrowia pacjenta po zabiegu oraz regularne wizyty kontrolne u stomatologa lub ortopedy. Dzięki temu można szybko zidentyfikować ewentualne problemy i podjąć odpowiednie kroki w celu ich rozwiązania.
Jakie są zalety stosowania implantów w medycynie?

Implanty oferują szereg korzyści zarówno w dziedzinie stomatologii, jak i ortopedii. W przypadku implantów dentystycznych główną zaletą jest ich zdolność do przywracania funkcji żucia oraz estetyki uśmiechu. Dzięki nim pacjenci mogą cieszyć się pełnym zestawem zębów, co ma pozytywny wpływ na ich samopoczucie i pewność siebie. Implanty są również trwalsze niż tradycyjne protezy czy mosty, co oznacza mniejsze ryzyko konieczności ich wymiany w przyszłości. W ortopedii implanty pomagają przywrócić mobilność pacjentom po urazach lub operacjach stawów. Dzięki nim możliwe jest szybkie powrócenie do aktywności fizycznej oraz poprawa jakości życia. Ponadto wiele badań potwierdza wysoką skuteczność implantów w długoterminowym leczeniu różnych schorzeń. Ich zastosowanie pozwala na bardziej precyzyjne dopasowanie do potrzeb pacjenta oraz minimalizację bólu i dyskomfortu podczas rehabilitacji.
Czy istnieją alternatywy dla implantów medycznych?
W przypadku osób rozważających wszczepienie implantów warto zwrócić uwagę na dostępne alternatywy, które mogą być równie skuteczne w leczeniu różnych schorzeń. W stomatologii jedną z opcji są mosty protetyczne, które mogą być stosowane zamiast implantów w przypadku braku jednego lub kilku zębów. Mosty te wymagają jednak szlifowania zdrowych zębów sąsiednich, co może prowadzić do ich osłabienia w przyszłości. Innym rozwiązaniem są protezy ruchome, które są mniej inwazyjne i łatwiejsze do usunięcia, ale mogą być mniej komfortowe dla pacjentów. W ortopedii alternatywą dla implantów mogą być różnego rodzaju ortezy czy aparaty ortopedyczne, które wspierają stawy i mięśnie bez potrzeby przeprowadzania operacji. Należy jednak pamiętać, że każda metoda ma swoje ograniczenia i nie zawsze będzie odpowiednia dla każdego pacjenta.
Jakie są najnowsze badania dotyczące bezpieczeństwa implantów?
W ostatnich latach przeprowadzono wiele badań mających na celu ocenę bezpieczeństwa i skuteczności implantów w różnych dziedzinach medycyny. Badania te koncentrują się na długoterminowych efektach stosowania implantów oraz ich wpływie na zdrowie pacjentów. W przypadku implantów dentystycznych naukowcy analizują, jak różne materiały oraz techniki chirurgiczne wpływają na proces integracji implantu z kością. Wyniki wielu badań wskazują, że odpowiednio dobrane materiały, takie jak tytan czy ceramika, mają wysoką biokompatybilność i minimalizują ryzyko powikłań. W ortopedii badania koncentrują się na ocenie trwałości implantów stawowych oraz ich wpływie na jakość życia pacjentów po operacjach. Wiele z tych badań wykazuje, że implanty mogą znacząco poprawić funkcję stawów oraz zmniejszyć ból, co przekłada się na lepszą mobilność i samopoczucie pacjentów. Co więcej, nowe technologie, takie jak druk 3D, otwierają nowe możliwości w produkcji implantów, umożliwiając ich lepsze dopasowanie do indywidualnych potrzeb pacjentów.
Jak przygotować się do zabiegu wszczepienia implantu?
Przygotowanie do zabiegu wszczepienia implantu jest kluczowym etapem, który może wpłynąć na jego powodzenie oraz bezpieczeństwo. Przed przystąpieniem do zabiegu pacjent powinien przejść szczegółową konsultację ze specjalistą, który oceni stan zdrowia oraz wskazania do wykonania zabiegu. Ważne jest również wykonanie odpowiednich badań diagnostycznych, takich jak zdjęcia rentgenowskie czy tomografia komputerowa, które pomogą w ocenie struktury kości i lokalizacji implantu. Pacjent powinien także poinformować lekarza o wszystkich przyjmowanych lekach oraz chorobach przewlekłych, które mogą wpłynąć na proces gojenia. Na kilka dni przed zabiegiem zaleca się unikanie palenia tytoniu oraz alkoholu, ponieważ mogą one negatywnie wpłynąć na proces gojenia i integracji implantu z kością. Dodatkowo warto zadbać o odpowiednią higienę jamy ustnej oraz stosować się do zaleceń lekarza dotyczących diety i stylu życia przed zabiegiem.
Jak wygląda proces rehabilitacji po wszczepieniu implantu?
Rehabilitacja po wszczepieniu implantu jest kluczowym etapem, który ma na celu zapewnienie prawidłowego gojenia oraz integracji implantu z otaczającymi tkankami. Bezpośrednio po zabiegu pacjent może odczuwać dyskomfort lub ból w miejscu wszczepienia, dlatego lekarz zazwyczaj zaleca stosowanie leków przeciwbólowych oraz zimnych okładów w celu złagodzenia objawów. W pierwszych dniach po operacji ważne jest unikanie intensywnego wysiłku fizycznego oraz przestrzeganie zaleceń dotyczących diety; zaleca się spożywanie miękkich pokarmów oraz unikanie gorących napojów. Regularne wizyty kontrolne u specjalisty są niezbędne do monitorowania procesu gojenia oraz oceny stanu implantu. Po kilku tygodniach pacjent może rozpocząć stopniowe wprowadzanie aktywności fizycznej, jednak należy to robić pod okiem specjalisty. W przypadku implantów dentystycznych rehabilitacja obejmuje także naukę odpowiedniej higieny jamy ustnej oraz regularne czyszczenie implantu.
Jak długo trwa proces gojenia po wszczepieniu implantu?
Czas gojenia po wszczepieniu implantu jest uzależniony od wielu czynników, takich jak rodzaj implantu, miejsce jego wszczepienia oraz indywidualne predyspozycje organizmu pacjenta. W przypadku implantów dentystycznych proces ten zazwyczaj trwa od kilku tygodni do kilku miesięcy. Pierwszym etapem jest osteointegracja, czyli proces łączenia się implantu z kością szczęki lub żuchwy; ten etap może trwać od 3 do 6 miesięcy w zależności od jakości kości i zastosowanej techniki chirurgicznej. Po zakończeniu tego etapu możliwe jest przystąpienie do dalszych działań, takich jak umieszczenie korony protetycznej na implancie. W przypadku implantów ortopedycznych czas gojenia może być dłuższy; zazwyczaj trwa od 3 do 12 miesięcy w zależności od lokalizacji implantu oraz ogólnego stanu zdrowia pacjenta. Ważne jest również przestrzeganie zaleceń lekarza dotyczących rehabilitacji oraz unikanie nadmiernego obciążania miejsca wszczepienia podczas procesu gojenia.
Jakie są koszty związane z wszczepieniem implantów?
Koszty związane z wszczepieniem implantów mogą znacznie się różnić w zależności od wielu czynników, takich jak rodzaj implantu, lokalizacja kliniki czy doświadczenie chirurga. W przypadku implantów dentystycznych ceny mogą wynosić od kilku tysięcy złotych za jeden implant do kilkunastu tysięcy złotych za kompleksowe leczenie obejmujące kilka implantów i dodatkowe procedury stomatologiczne. Koszt samego zabiegu często nie obejmuje dodatkowych wydatków związanych z diagnostyką (np. zdjęcia rentgenowskie), materiałami protetycznymi (np. korony) czy rehabilitacją pooperacyjną. Warto również pamiętać o możliwościach finansowania leczenia; wiele klinik oferuje opcje ratalne lub współpracuje z instytucjami finansowymi umożliwiającymi rozłożenie kosztów na dogodne raty. W przypadku implantów ortopedycznych koszty mogą być jeszcze wyższe ze względu na bardziej skomplikowane procedury chirurgiczne oraz dłuższy czas rehabilitacji.
Jakie są opinie pacjentów dotyczące bezpieczeństwa implantów?
Opinie pacjentów dotyczące bezpieczeństwa implantów są bardzo zróżnicowane i często zależą od indywidualnych doświadczeń związanych z zabiegami chirurgicznymi oraz późniejszymi efektami leczenia. Wielu pacjentów podkreśla pozytywne aspekty związane z poprawą jakości życia po wszczepieniu implantów dentystycznych czy ortopedycznych; często zauważają znaczną poprawę funkcji żucia lub mobilności stawów, co przekłada się na większą satysfakcję z codziennych aktywności. Jednakże niektórzy pacjenci zgłaszają obawy dotyczące ryzyka powikłań czy bólu pooperacyjnego; niektórzy mogą doświadczać trudności związanych z integracją implantu lub infekcjami w miejscu wszczepienia. Ważnym elementem jest także wsparcie ze strony personelu medycznego; pacjenci często zwracają uwagę na znaczenie komunikacji z lekarzem oraz dostępność informacji dotyczących procesu leczenia i rehabilitacji.





